
Enfermedades Bucales
cuida tus dientes

Las caries son zonas dañadas de forma permanente en la superficie de los dientes que se convierten en pequeñas aberturas u orificios. Las caries se producen a causa de una combinación de factores, como bacterias en la boca, ingesta frecuente de tentempiés, bebidas azucaradas y limpieza dental deficiente.
https://www.youtube.com/watch?v=PtC2UBODSEs
https://www.youtube.com/watch?v=SxR1guhbQ6c

La gingivitis es una forma frecuente y leve de enfermedad de las encías (enfermedad periodontal), que causa irritación, enrojecimiento e hinchazón (inflamación) de la parte de las encías que rodea la base de los dientes. Es importante tomar la gingivitis en serio y tratarla rápidamente
https://www.youtube.com/watch?v=zCOfE6XdUWY

La periodontitis, también llamada enfermedad de las encías, es una grave infección de las encías que daña el tejido blando y que, sin tratamiento, puede destruir el hueso que sostiene los dientes. La periodontitis puede hacer que los dientes se aflojen o que se pierdan
Enfermedades Bucales
TUS DIENTES SON IMPORTANTES CUIDALOS

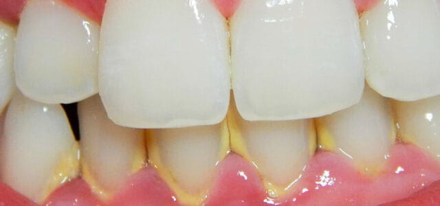
El sarro, a veces denominado cálculo o tártaro dental, es la placa bacteriana que se ha endurecido sobre sus dientes debido al depósito de minerales sobre la placa bacteriana. También se puede formar en el borde de las encías y debajo de ellas y puede irritar los tejidos gingivales

El muguet es una infección por hongos muy común en los bebés. Esta infección causa irritación dentro y alrededor de la boca del bebé.

El bruxismo es el hábito de apretar o rechinar los dientes de forma involuntaria y que se produce con mayor frecuencia en niños. el bruxismo se suele dar por la noche, en la primera parte del sueño de los niños.
